





Alexandru Radu, responsabil al centrului de reabilitare pentru afecțiuni musculoscheletice
Puțini știu că dezvoltarea cremei Arthrovia a necesitat mult timp. Echipa mea și cu mine am studiat sute de extracte vegetale din diverse regiuni. În cele din urmă, am reușit să sintetizăm formula ideală, pe baza căreia a fost creată crema Arthrovia.
Aceasta nu este doar o cremă analgezică care acționează la suprafață. Componentele cremei Arthrovia pătrund adânc în țesut și îl refac efectiv, întărindu-l și redându-i elasticitatea. Am dezvoltat o tehnică specială de aplicare a cremei Arthrovia, fără echivalent în Europa. Urmând recomandările mele, vei putea să te miști fără nicio restricție.
Nu ignora primele semne: durere, umflare sau rigiditate. Acționează la timp pentru a preveni progresia bolii în stadii mai severe și pentru a-ți păstra mobilitatea și calitatea vieții.
Artrita este inflamația articulațiilor, însoțită de durere puternică și mobilitate limitată. Conform statisticilor, 37% dintre persoanele cu artrită devin invalide dacă nu încep tratamentul la timp. Nu ignora semnele timpurii ale bolii!
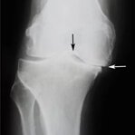
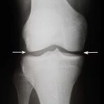
Osteoartrita distruge treptat țesutul cartilaginos și duce la deformarea articulațiilor. În timp, chiar și cele mai simple mișcări devin imposibile, iar durerea devine constantă. O terapie corectă ajută la încetinirea progresiei bolii.
Umflăturile și inflamațiile genunchilor avertizează asupra unor probleme serioase. Fără tratament, acestea pot duce la pierderea completă a mobilității și chiar la necesitatea unei operații. Acționează imediat la primele simptome!






Durere și senzație de greutate în coloana vertebrală
Pocnituri ale articulațiilor la mers
Umflături ale membrelor , durere la degete
Limitări la mers
Durere la rotirea capului sau a trunchiului
Acestea pot indica probleme articulare.
Mulți cred că durerile articulare sunt legate de schimbările cauzate de îmbătrânire sau de anomalii genetice, dar nu este așa. Iată principalele cauze ale durerilor musculo-scheletice:
Alergia -Reacțiile alergice provoacă inflamații în organism și contribuie la dezvoltarea bolilor articulare.
Viruși Unii viruși circulă în sânge și se depun în vasele sanguine. Pătrund în articulații și provoacă simptome neplăcute.
Bolile sistemului nervosTulburările sistemului nervos afectează alimentația mușchilor, oaselor și tonusul vascular, ceea ce duce la epuizarea articulațiilor.
Boli Circulația sanguină deficitară în vasele de sânge provoacă inflamații la nivelul articulațiilor și oaselor.
Boli ale sistemului endocrinMulte afecțiuni articulare sunt cauzate de tulburări hormonale din organism.
Arthrovia
Nu adăugăm substanțe chimice agresive sau alergeni puternici. 90% din compoziție este formată din extracte naturale. Ingredientele se completează reciproc și acționează direct asupra cauzei durerii.


Arnica montană reduce inflamația și umflăturile
Mentolul răcorește și accelerează regenerarea
Harpagophytum procumbens întărește vasele de sânge și reduce inflamațiile
Robinia pseudoacacia ameliorează durerile articulare
Extract de Boswellia serrata diminuează durerea și îmbunătățește mobilitatea articulară
Aplicați crema numai în repaus
Pentru ca Arthrovia să acționeze rapid, trebuie aplicată pe zonele dureroase în repaus.
Dimineața
Aplicați crema dimineața, imediat după trezire. Lăsați-o să se absoarbă complet înainte de a vă îmbrăca sau a începe activitățile zilnice.
Aplicați crema seara, înainte de culcare. După aplicare, nu vă ridicați pentru a nu solicita mușchii și articulațiile.
Pentru a evita deteriorarea suplimentară a pielii și articulațiilor, nu este necesar să masați crema cu putere. Pur și simplu aplicați-o cu mișcări ușoare.
2 săptămâni
Înainte
După 1 lună
Înainte
După 2 luni
Înainte
După